▶ DailyTube
Home 🎲 Random Trending Music Gaming

CONHEXA, Logistique et conditionnement sous température dirigée

21 views · 13y ago 🎲 Random
Dunkerque Promotion
Dunkerque Promotion View Channel →

Interview du PDG de Conhexa, Luc VAn Holzaet. Un entrepreneur belge qui a choisi de s'implanter à Dunkerque.

Related Videos

Commission des affaires économiques : Interdiction de  pratiques génératrices de souffrances chez les animaux (suite) ; Moratoire sur l’implantation de nouveaux entrepôts logistiques destinés aux opérateurs du commerce en ligne  - Jeudi 1 octobre 2020 2:55:32

Commission des affaires économiques : Interdiction de ...

Assemblée nationale 11 views

Arnaud Gibert, dit "Gibus", responsable de l'implantation et de la logistique, parle de son expérience au festival de la Paille, à Métabief 0:22

Arnaud Gibert, dit "Gibus", responsable de l'implantati...

L'Est Republicain 16 views

Commission des affaires économiques : Interdiction de  pratiques génératrices de souffrances chez les animaux (suite) ; Moratoire sur l’implantation de nouveaux entrepôts logistiques destinés aux opérateurs du commerce en ligne  - Jeudi 1 octobre 2020 2:55:32

Commission des affaires économiques : Interdiction de ...

Assemblée nationale 2 views

Implant contraceptif : avantages et inconvénients 3:01

Implant contraceptif : avantages et inconvénients

Doctissimo 24.3K views

Investir dans un achat immobilier avec Déficalement Vôtre, Conseil en Immobilier permet de profiter de nombreux avantages liés au statut Censi Bouvard : réduction d'impôts sur le revenu, récupération de la TVA... Découvrez  Les Dunes de l'Océan 6:44

Investir dans un achat immobilier avec Déficalement Vôt...

imo9france 66 views

How To Become Pregnant Successfully |Ovulation Symptoms |Implantation Symptoms |Pregnancy Symptoms |How to become pregnant |ovulation discharge |Successful implantation |early pregnancy symptoms |How To Become Pregnant|   #pregnancy #howtogetpregnant 8:33

How To Become Pregnant Successfully |Ovulation Symptoms...

Doctor Helping Health 17 views

Read Spinal Cord Stimulation Implantation: Percutaneous Implantation Techniques Ebook Free 0:05

Read Spinal Cord Stimulation Implantation: Percutaneous...

Deshaies 0 views

Thind dental clinic,modern technology ,implants ,root canal treatment ,tooth implantation 2:40

Thind dental clinic,modern technology ,implants ,root c...

Dr RajanBir Thind 692 views

Carte Avantage / Carte Liberté : laquelle de ces deux cartes SNCF offre les meilleurs avantages ? 5:12

Carte Avantage / Carte Liberté : laquelle de ces deux c...

Sud Radio 102 views

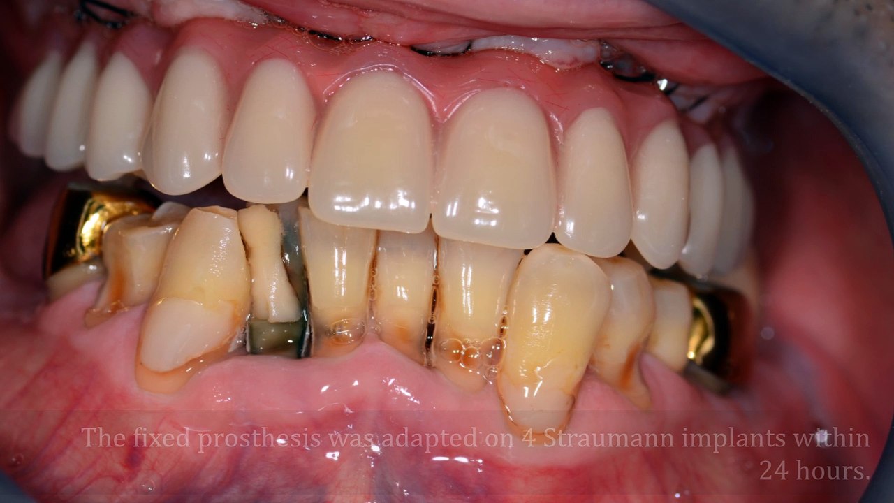
Implantation with Straumann implants 4:18

Implantation with Straumann implants

Papadent 1 views

Investir et s'implanter en Russie et en CEI : gestion des risques des projets d'implantation 17:37

Investir et s'implanter en Russie et en CEI : gestion d...

Classe Export 386 views

Robert Cohen : «Les variants sont très peu implantés en France, il faut absolument limiter leur implantation» 1:07

Robert Cohen : «Les variants sont très peu implantés en...

CNEWS 2 views

▶ DailyTube

Discover amazing videos from around the world

Browse

Home 🎲 Random Video Trending Music Films

Categories

Gaming Sport News Tech

More

Entertainment Comedy Travel Sitemap

Powered by Dailymotion API · 2026 DailyTube