▶ DailyTube
Home 🎲 Random Trending Music Gaming

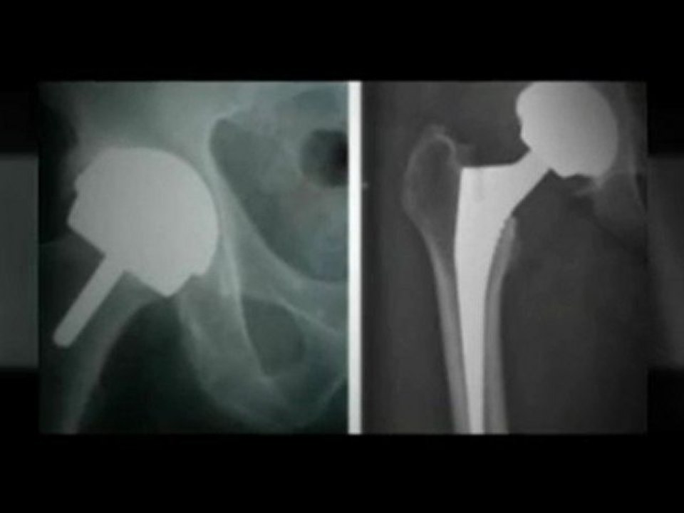
Zimmer Durom Hip Recall Informational Video

84 views · 15y ago 🎲 Random
magliolaw
magliolaw View Channel →

https://www.mctlaw.com/joint-replacement/ Representing patients nationally with defective Zimmer Metasul Durom hip replacement cups. If you believe that your Zimmer Durom Hip Cup is defective, contact us at 888-952-5242.

Related Videos

Zimmer Durom Hip Recall Informational Video 1:19

Zimmer Durom Hip Recall Informational Video

magliolaw 172 views

Zimmer Hip Recall Legal Advise 0:29

Zimmer Hip Recall Legal Advise

Spencegxz 9 views

Learn About Zimmer Hip Recall Lawyers 0:31

Learn About Zimmer Hip Recall Lawyers

Spencegxz 12 views

What is Informational Writing? | Informational Writing for Kids | Nonfiction Writing 4:57

What is Informational Writing? | Informational Writing ...

Ms. Dorismond's Virtual Corner 455 views

Big Deals  Reading Informational Text, Grade 3 (Reading Informational Text: Common Core Mastery) 0:19

Big Deals Reading Informational Text, Grade 3 (Reading...

Depend 0 views

EBOOK ONLINE  Reading Informational Text Grade 6 Reading Informational Text Common Core Mastery  DOWNLOAD ONLINE 0:09

EBOOK ONLINE Reading Informational Text Grade 6 Readin...

Spencermurphy 1 views

Fight the Depuy hip recall with the best Depuy hip recall lawyer in town! 0:48

Fight the Depuy hip recall with the best Depuy hip reca...

Courtney Stanford 12 views

Depuy Hip Recall Lawyers to Provide Legal Assistance for Hip Recall Cases 0:41

Depuy Hip Recall Lawyers to Provide Legal Assistance fo...

richellec00per22 2 views

Win the Hip Recall Lawsuit with top of the class Hip Recall Lawyers 0:47

Win the Hip Recall Lawsuit with top of the class Hip Re...

hiprecalllawyer 3 views

Informational video 0:46

Informational video

At informational 2 views

Wrevel: Informational Video 0:50

Wrevel: Informational Video

Wrevel 42 views

Informational Speech for Public Speaking Class 8:04

Informational Speech for Public Speaking Class

hbrewer6 132 views

▶ DailyTube

Discover amazing videos from around the world

Browse

Home 🎲 Random Video Trending Music Films

Categories

Gaming Sport News Tech

More

Entertainment Comedy Travel Sitemap

Powered by Dailymotion API · 2026 DailyTube