Gum Bleeding Stop Bleeding Gums Cure Bleed Gum End Bleed

1 views · 16y ago 🎲 Random

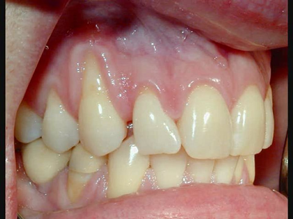
http://www.trustedgumproducts.com Stop Bleeding gum is desired because bleeding gums Stop are a sign that you may be developing a serious dental disease. You may not realize that sore, swollen, bleeding gums cure, tooth sensitivity, and bad breath are warning signs of gum disease – a serious infection that, left untreated, may lead to tooth loss. So that's a good reason to Stop bleeding gum. Bleeding gum cure is only part of the story as the bleeding is a symptom of a larger problem. Bleeding gums are a symptom of gum disease. In the mildest form of gum disease called Bleeding Gums, the gums redden, swell and bleed easily.