▶ DailyTube
Home 🎲 Random Trending Music Gaming

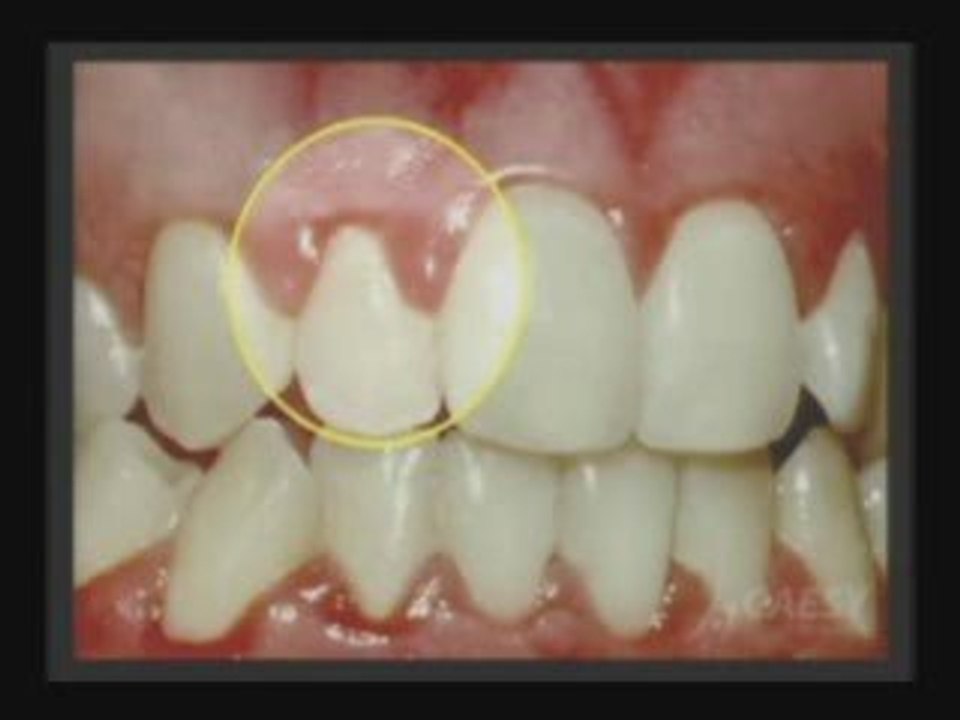
Oral Surgery| Dental Clinic | Dental | Dr. Sahabi Burbank

15 views · 16y ago 🎲 Random
eendeeier73
eendeeier73 View Channel →

Dr. Sahabi in Los Angeles tells that Tooth Plaque infects the tooth gums creating Gum disease, Periodontal disease. Call us at 1-800-734-7454 or visit http://www.CaDentalGroup.com for more info

Related Videos

Dental Bridge |dental implants| Dr. Sahabi in Burbank 1:54

Dental Bridge |dental implants| Dr. Sahabi in Burbank

pltlkiy71 1 views

Dentist  Glendale|Dental floss|Dentist Burbank | Dr. Sahabi 2:44

Dentist Glendale|Dental floss|Dentist Burbank | Dr. Sa...

pltlkiy71 1 views

Dr Padmaja Dhanireddy About Oral Hygiene _ Dental Health _ Arcus Dental Clinic _ KPHB, Kukatpally (2) 4:32

Dr Padmaja Dhanireddy About Oral Hygiene _ Dental Healt...

online consultancy 4 views

Dental implants surgery, Dental Implant procedure video by Dr Agravat Best Dental Implants Clinic Ahmedabad, India 0:23

Dental implants surgery, Dental Implant procedure video...

Feronmeaz 59 views

Cosmetic Dentistry|Dental Clinic|Dentist|Glendale|Dr. Sahabi 1:21

Cosmetic Dentistry|Dental Clinic|Dentist|Glendale|Dr. S...

eendeeier73 1 views

Pediatric Dentist - Oswal Dental & Oral Surgery Clinic 0:30

Pediatric Dentist - Oswal Dental & Oral Surgery Clinic

Oswal Dental Clinic 3 views

Dr. Lawrence Musser - Florida Dental Implants & Oral Surgery 10:49

Dr. Lawrence Musser - Florida Dental Implants & Oral Su...

thewellnesshour 1 views

dental clinic in indirapuram - dental doctors, ghaziabad | dental clinic | askme.com |Dentist. In Indirapuram - Dental Implants - Dr Jha's Digital Dentistrry 6:19

dental clinic in indirapuram - dental doctors, ghaziaba...

Dentist In Indirapuram 1 views

Oral Surgery, Dental Implants : Is dental implant surgery painful? 0:17

Oral Surgery, Dental Implants : Is dental implant surge...

VideojugBeautyandStyle 17 views

Dr. Yamini Mannava Capital Dental Care | Best dental clinic in Madinaguda | Best dental clinic in kondapur | best dentist in kondapur 1:30

Dr. Yamini Mannava Capital Dental Care | Best dental cl...

Capital Dental Care 6 views

Periodontal disease | Gum disease | Dr. Sahabi | Burbank 4:54

Periodontal disease | Gum disease | Dr. Sahabi | Burban...

pltlkiy71 1 views

Tooth fillings | Cosmetic Dentistry| Burbank | Dr. Sahabi 2:57

Tooth fillings | Cosmetic Dentistry| Burbank | Dr. Saha...

pltlkiy71 34 views

▶ DailyTube

Discover amazing videos from around the world

Browse

Home 🎲 Random Video Trending Music Films

Categories

Gaming Sport News Tech

More

Entertainment Comedy Travel Sitemap

Powered by Dailymotion API · 2026 DailyTube