▶ DailyTube
Home 🎲 Random Trending Music Gaming

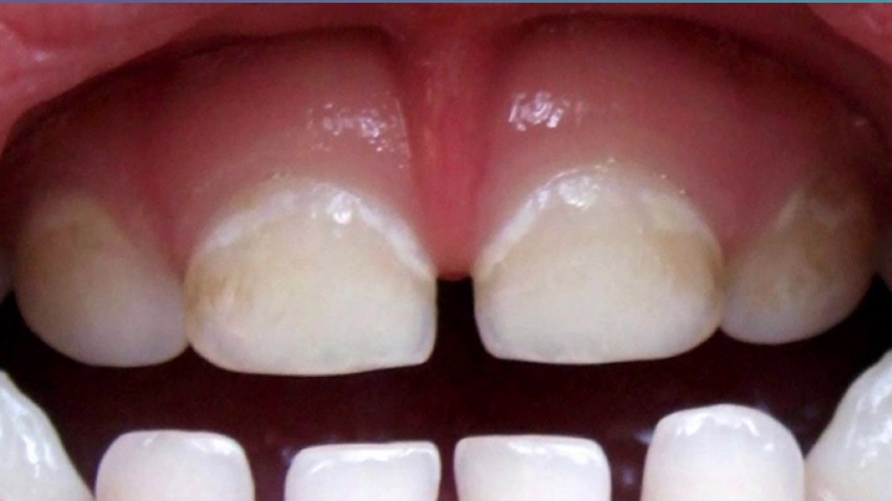
¿Qué tan importante es la lactancia para el desarrollo de caries de los dientes del bebé?

0 views · 6y ago 🎲 Random
MEDICABLE
MEDICABLE View Channel →

Consulte a su Médico.<br />De la mano de un médico, te daremos a conocer información muy interesante. De las dudas que normalmente tenemos, te daremos a conocer respuestas directamente de expertos en el tema.

Related Videos

Conceptos básicos sobre las caries / Como prevenir la caries en los dientes de los niños 6:44

Conceptos básicos sobre las caries / Como prevenir la ...

Imagen Entretenimiento 4 views

Ciencia UNAM: Niños en el mundo sufren de caries en los “dientes de leche” 2:24

Ciencia UNAM: Niños en el mundo sufren de caries en los...

Excélsior TV 1 views

¿Qué consecuencia puede tener una caries en los dientes de leche? 0:42

¿Qué consecuencia puede tener una caries en los dientes...

MEDICABLE 0 views

bd-manchas-en-los-dientes-señales-de-caries-250123 21:42

bd-manchas-en-los-dientes-señales-de-caries-250123

Teletica 52 views

Mira esta receta, remedios naturales, blanqueo dientes, caries, encias... 1:34

Mira esta receta, remedios naturales, blanqueo dientes,...

Castaño Yélamos Antonio 1 views

Cómo prevenir las caries en mi hijo | Cómo cepillar los dientes de mi hijo  | Todobebé 1:49

Cómo prevenir las caries en mi hijo | Cómo cepillar los...

Noticias Ya All Markets 2 views

Conozca la técnica del cepillado correcto de dientes en los niños que evitará las caries  7:39

Conozca la técnica del cepillado correcto de dientes en...

Unitel Bolivia 1 views

Blanquea tus dientes en 2 minutos con esta poderosa mezcla rompe caries 2:02

Blanquea tus dientes en 2 minutos con esta poderosa mez...

DE TODO UN POCO TV 17 views

La caries dental dentista pediátrico en el tratamiento dental dientes de leche del niño bajo anestesia general, nuestra 4:59

La caries dental dentista pediátrico en el tratamiento ...

Suxesix 2 views

¿Qué consecuencias puede tener una caries en los dientes de leche y en los permanentes? 0:51

¿Qué consecuencias puede tener una caries en los diente...

MEDICABLE 1 views

¿Es importante cuidar los dientes de leche a pesar de que se caerán después? 1:13

¿Es importante cuidar los dientes de leche a pesar de q...

MEDICABLE 6 views

KSI MERITO Quitamos diente y caries a Chivatita y Machincuepa Ksi bebes-mmSqm 0:18

KSI MERITO Quitamos diente y caries a Chivatita y Machi...

Hrq69733 2 views

▶ DailyTube

Discover amazing videos from around the world

Browse

Home 🎲 Random Video Trending Music Films

Categories

Gaming Sport News Tech

More

Entertainment Comedy Travel Sitemap

Powered by Dailymotion API · 2026 DailyTube