Alyaa Gad - Gum Disease | أمراض اللثة

1 views · 7y ago 🎲 Random

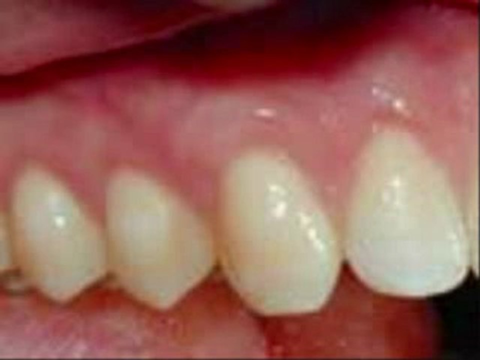
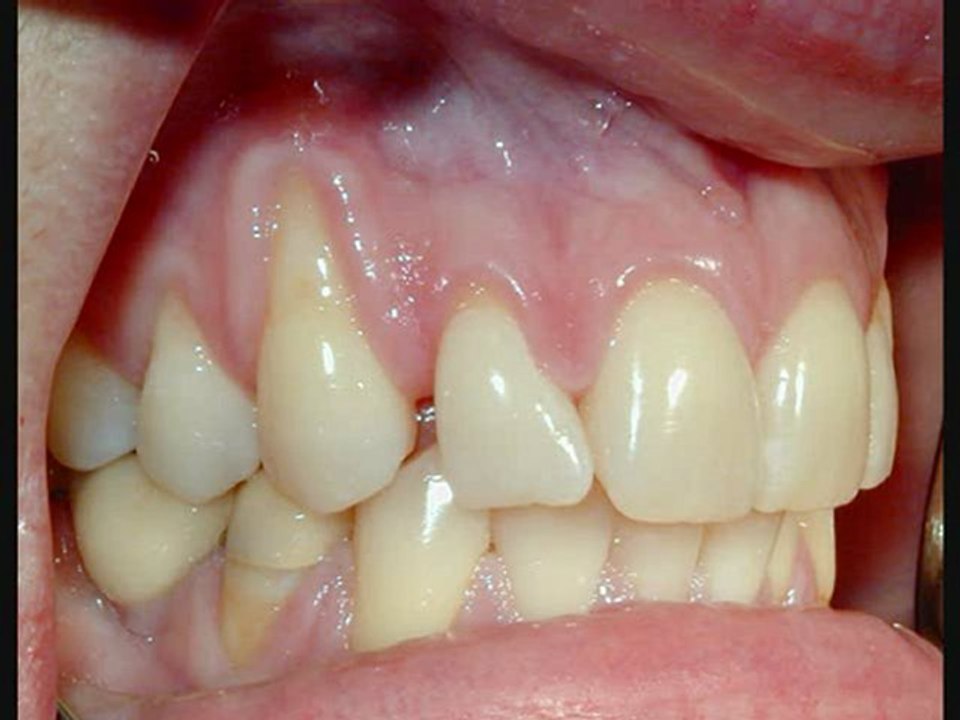
Alyaa Gad - Gum Disease | أمراض اللثة<br />عاوزة أكلمكم عن حاجة في تخصص طب الأسنان لكن لها علاقة وثيقة بالطب البشري أمراض اللثة منتشرة جدا في مجتمعاتنا وثبت أنها بتسبب مشاكل صحية كتير ثبت إنه جلطات المخ والقلب وأحيانا الضعف الجنسي وأحيانا الإجهاض المتكرر له علاقة بإهمال تنظيف الأسنان واللثة علشان كدة عاوزة أوضح لكم الموضوع دة لو يسمحوا لي الزملاء أطباء الأسنان أتدخل شوية في مجالهم تعالوا شوفوا معايا السنة بتتكون من زي تاج كدة ومحطوط يعني مغروس في أرضية متكونة من اللثة واللثة تحتها العظم اللي هو غارسة فيه السنة فإحنا لو إحنا شايفنها كدة أنت لما بتشوف أسنانك من الجنب بتلاقي الجزء الأبيض وبعدين الجزء الأحمر اللي هو اللثة لو لفيتها شوية كدة دة مقطع بالجنب يعني أنا قطعت كدة زي ما يكون نشرت الفك بالمنشار هتلاقي إنه اللثة اللون الأحمر الرقيق دة تحتها على طول عظم طيب لو شوفنا قطعنا برضه مقطع بحيث نشوف جذر السنة هتلاقيه مغروس في عظم وتحت في أوعية دموية طيب معنى كدة إيه إن أنا لما أكل وما أنظفش سناني كويس الأكل هايدخل هنا بين اللثة والسنة وبمرور الوقت هاتحصل التهابات وهتلاقي من أعراضه نزيف كل ما تغسل أسنانك والالتهابات دي بتضيع نسيج اللثة وكمان بالتدريج بتضيع العظم في ناس حتى بيحصلهم خراج والخراج دة يخلي العظم يتآكل بسرعة جدا واللي بيحصل في الآخر إنه السنة بتتلخلخ وتقع لأنه العظم تآكل لأن إحنا مهملين تنظيف الطعام اللي هو واقع بين اللثة وجذر السنة بنقول عليه Pocket يعني جيب فيه أكل متجمع وعامل التهابات بكتيرية وعاملالك المشكلة دي اللي مسببة في الآخر فقدان السنة يبقى أنت علشان مش بتنظف كويس بين الأسنان بالـ Floss هايحصلك في الآخر إنه تفقد السنة حتى لو هي سليمة مش مسوسة المشكلة التانية بقى إنه الأكل بيدخل يعني متعفن والبكتيريا اللي معاه جزيئات من الأكل أو البكتيريا دي بتدخل في الأوعية الدموية اللي رايحة بقى على باقي الجسم هاتروح الأول على القلب وعلى باقي الأوعية الدموية<br /><br />متخصصة في التعليم الصحي وتبسيط العلوم الطبية، وأهدف إلى رفع الوعي الصحي والتعليمي في مصر والعالم العربي.<br />على هذه القناة ستجدون فيديوهات لقناة أفهم العربية، <br />وفيديوهات بنفس المحتوى باللغة الإنجليزية تحت اسم <br />كما يوجد قسم لتعليم اللغة الإنجليزية <br />http://bit.ly/afhamTV<br />http://bit.ly/EnglishwithAlyaaGad<br />أنا وفريق العمل نرحب بكم ونتمنى لكم الصحة والسعادة والنجاح<br /> Subscribe to official Alyaa Gad channel : http://bit.ly/AlyaaGad <br /><br /> Follow Alyaa Gad :<br />http://www.afham.tv<br />https://www.facebook.com/dr.AlyaaGad<br />https://twitter.com/AlyaaGad