▶ DailyTube
Home 🎲 Random Trending Music Gaming

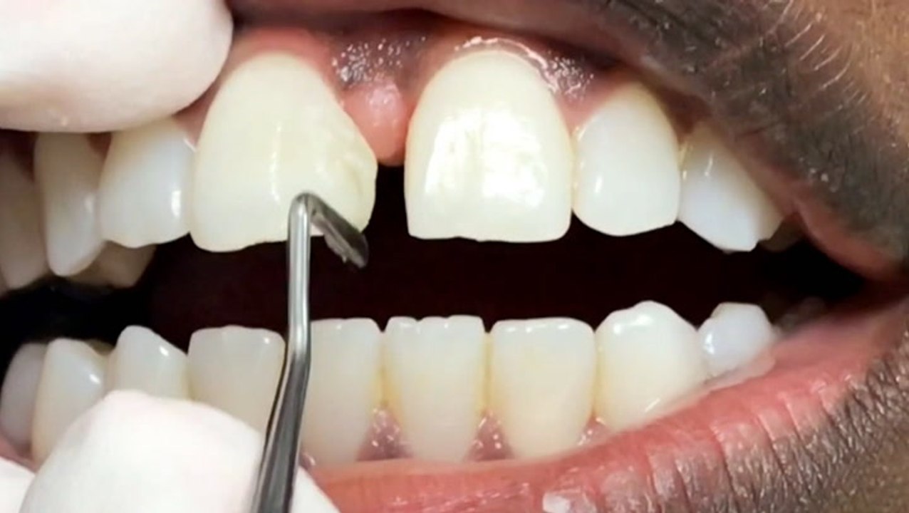
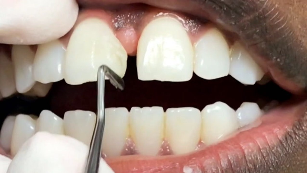
Adult Teeth with Gaps - A NJ Dentist On What Can Be Done

9 views · 12y ago 🎲 Random
Dr. Ronen Rotem
Dr. Ronen Rotem View Channel →

http://drrotem.com/ When gaps in adult teeth begin to enlarge, this could mean you have an oral health problem needing immediate medical attention and...read more >>> http://drrotem.com/blog/title/adult-teeth-gaps

Related Videos

Logan UT Dentist - Closing Gaps in Teeth 2:37

Logan UT Dentist - Closing Gaps in Teeth

LDentist119 245 views

How An Orthodontist Can Make The Gaps In Your Teeth Disappear 1:07

How An Orthodontist Can Make The Gaps In Your Teeth Dis...

Haydrunharry 3 views

Learn how Arvada dentist can gaps in your mouth with implan 1:00

Learn how Arvada dentist can gaps in your mouth with im...

arvadadentists 4 views

Fort Lee Teeth Whitening, Cosmetic Dentist Fort Lee NJ, Teeth Bleaching Leonia, Edgewater NJ 5:41

Fort Lee Teeth Whitening, Cosmetic Dentist Fort Lee NJ,...

DentistFortlee 13 views

Advance Treatment  For Gaps Between Teeth at Partha Dental 1:40

Advance Treatment For Gaps Between Teeth at Partha Den...

MyParthaDental 14 views

NHS admits struggle to fill dentist gaps in rural Northumberland 0:45

NHS admits struggle to fill dentist gaps in rural North...

Local TV 48 views

Front teeth gaps fixed - Veneers Austin, Tx- Lakew 1:33

Front teeth gaps fixed - Veneers Austin, Tx- Lakew

lakewaysmiles 165 views

The Doctors (March 01, 2018) Using filler to get rid of small gaps between teeth; stool softeners vs. laxatives; sex dreams; the host of "America's Test Kitchens" shares healthy recipes; morning workout nausea; rusty pipe syndrome; serotonin syndrome; ret 37:46

The Doctors (March 01, 2018) Using filler to get rid of...

The Steve Wilkos Show 3 views

Front teeth Gaps fixed - Veneers Austin, Tx- Lakeway 1:33

Front teeth Gaps fixed - Veneers Austin, Tx- Lakeway

sinesmonte 1.3K views

Closing Big Gaps Between The Teeth With The Help Of Orthodontist 1:31

Closing Big Gaps Between The Teeth With The Help Of Ort...

Alena Spielberg 199 views

How dentists and fill in tooth gaps 1:15

How dentists and fill in tooth gaps

Insider 1 views

How dentists and fill in tooth gaps 1:15

How dentists and fill in tooth gaps

Beauty Insider 1 views

▶ DailyTube

Discover amazing videos from around the world

Browse

Home 🎲 Random Video Trending Music Films

Categories

Gaming Sport News Tech

More

Entertainment Comedy Travel Sitemap

Powered by Dailymotion API · 2026 DailyTube